Hakkımda
Kitapları
Basında
Videolar
UZMANLIK ALANLARI
MEME RADYOLOJİSİ
MEME KANSERİ
YÜKSEK RİSKLİ HASTA
MEME SAĞLIĞI
ONLINE RANDEVU
DR DANIŞMA
RADYOLOJİ SONUÇLARI
RİSK DEĞERLENDİRME
İLETİŞİM
TR
EN
UZMANLIK ALANLARI
KONULAR
İLETİŞİM
UZMANLIK ALANLARI
KONULAR
Uzmanlık Alanları
Meme
Radyolojisi
Meme
Kanseri
Meme
Sağlığı
Yüksek Riskli
Hasta
Şimdi
Ara
Whatsapp
İletişim
Online
Randevu
Radyoloji
Sonuçlarınız
Yol
Tarifi
Erken teşhis, yaşam kurtarır. Meme kanserinde bilinçli takip, güçlü koruma.
PROF. DR. LEVENT ÇELİK KİMDİR ?
HAKKINDA
AKADEMİK
YAYINLAR
KİTAPLAR & MAKALELER
KİTAPLARI
MAKALELERİ
BASINDAN
DERGİLER
GAZETELER
VİDEOLAR
SORU CEVAP VİDEOLARI
TV PROGRAMLARI
BİLİMSEL TOPLANTILAR
Hakkımda
Kitapları
Basında
Videolar
Ana Sayfa
Uzmanlık Alanları
Meme Kanseri
Meme Kanseri
Meme Kanserinde Kriyoablasyon Nedir ve Kimlere Yapılabilir ?
Meme Kanserinin Lokal Tedavisinde Kriyoablasyon Tedavisinin Cerrahiye Üstünlüğü Var Mıdır?
Covid 19 ve Meme Kanseri Taraması
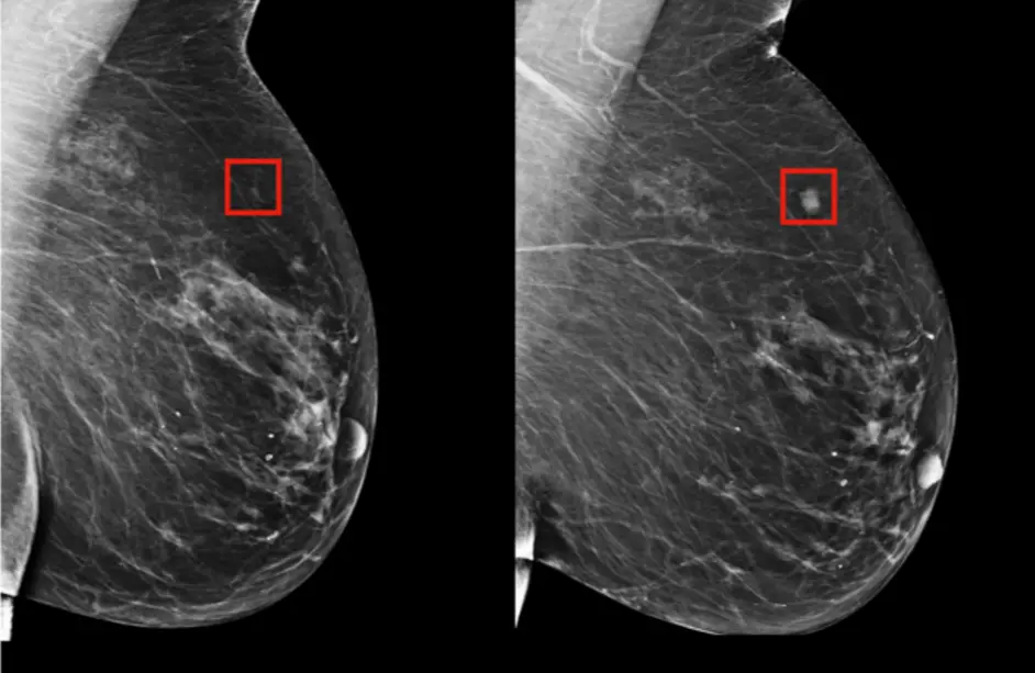
Meme Kanseri Taramasında Yapay Zeka
Meme Kanseri nedir? Belirtileri nelerdir?
Meme kanserinin görülme sıkılığı nedir?
Meme kanserinin sıklığı dünyada artıyor mu?
Meme kanserinin ölüm oranı yükseliyor mu?
Meme kanserinin sebebi biliniyor mu? Bilinen sebepler nelerdir?
Meme kanserini arttıran risk faktörleri var mı? Nelerdir?
Meme kanseri riski azalabilir mi?
Meme kanseri riski önlenebilir mi?
Meme kanseri taraması nasıl yapılır?
Meme kanseri tedavi edilebilir mi?
Memede bir kitle hissedildiğinde neler yapılmalıdır?
Kişinin kendi kendini muayene etmesi önemli midir? Nasıl yapılır?
Meme kanseri nasıl tedavi edilir?
Meme kanserinde yapılan ameliyatlar nelerdir?
Radyoterapi (ışın tedavisi) nedir?
Kemoterapi ilaç tedavisi nedir?
Kanserde hormon tedavisi nedir?
Erkekte meme kanseri nedir?
Lenfödem (Meme kanseri sonrası kol şişmesi)